Dostępność
Kontrast
Tryb domyślny
Tryb czarno-biały
"Tryb czarno-żółty
Tryb żółto-czarny
Czcionka
Zmniejsz czcionkę
Domyślna czcionka
Powiększ czcionkę
Logowanie
Rejestracja
0
Koszyk
0
Menu
Strona główna
O czasopiśmie
Artykuły
Bezpłatny wykład online
Multimedia
Archiwum
Kontakt
Więcej
Strona główna
O czasopiśmie
Artykuły
Bezpłatny wykład online
Multimedia
Archiwum
Kontakt
Kategoria: Filmy
Działy
Wyczyść
Dostęp otwarty
MEDYCYNA ALTERNATYWNA W WETERYNARII
Multimedia
Brak elementów
Wydanie
Wyczyść
Brak elementów
Rodzaj treści
Wyczyść
Artykuł
Artykuł 2
Audio
Plik
Wideo
Produkt literka
Produkt
Produkt literka pakiet
Kalendarium
Brak elementów
Sortowanie
Rosnąco po nazwie
Malejąco po nazwie
Rosnąco po dacie dodania
Malejąco po dacie dodania
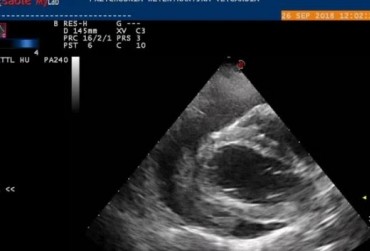
Obraz echo serca przez zabiegiem usunięcia worka osierdziowego 3
19 lutego 2019
Rafał Kraszewski
Czytaj więcej
Obraz echo serca przez zabiegiem usunięcia worka osierdziowego 1
19 lutego 2019
Rafał Kraszewski
Czytaj więcej
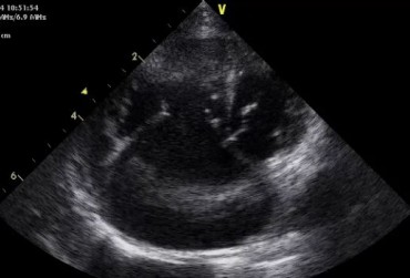
Badanie echokardiograficzne projekcja lewostronna koniuszkowa czterojamowa 2
19 lutego 2019
Urszula Bartoszuk
Czytaj więcej
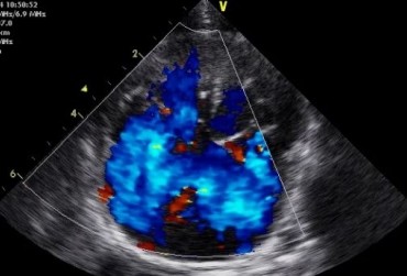
Badanie echokardiograficzne projekcja lewostronna koniuszkowa czterojamowa z Dopplerem kodowanym kolorem
19 lutego 2019
Urszula Bartoszuk
Czytaj więcej
Badanie echokardiograficzne projekcja lewostronna koniuszkowa czterojamowa 1
19 lutego 2019
Urszula Bartoszuk
Czytaj więcej
Badanie echokardiograficzne projekcja przymostkowa w osi krótkiej 2
19 lutego 2019
Urszula Bartoszuk
Czytaj więcej
Badanie echokardiograficzne projekcja przymostkowa w osi krótkiej 1
19 lutego 2019
Urszula Bartoszuk
Czytaj więcej
Badanie echokardiograficzne projekcja prawostronna przymostkowa w osi długiej
19 lutego 2019
Urszula Bartoszuk
Czytaj więcej
Dekapitacja głowy kości udowej
19 lutego 2019
Jerzy Kirstein
Czytaj więcej
Opis struktur mięśniowych
19 lutego 2019
Jerzy Kirstein
Czytaj więcej
1
2
3
4
5
Zamknij