Autor: Urszula Bartoszuk

dr n. wet.; jest absolwentką Wydziału Medycyny Weterynaryjnej warszawskiego SGGW z 2002 roku – w tym samym roku rozpoczęła Studia Doktorackie w Zakładzie Chirurgii Małych Zwierząt. Pani. W 2009 roku Urszula Bartoszuk uzyskała tytuł doktora nauk weterynaryjnych. Od 2013 r. do 2017 była rezydentką ECVIM - CA (European Collegeof Veterinary Internal Medicine - Companion Animals) z dziedziny kardiologii w Zurychu. Pani Doktor stale uczestniczy w wielu konferencjach i szkoleniach, publikuje artykuły naukowe w czasopismach weterynaryjnych, pracuje również jako tłumacz literatury medycznej.

Działy
Wyczyść
Brak elementów
Wydanie
Wyczyść
Brak elementów
Rodzaj treści
Wyczyść
Brak elementów
Sortowanie

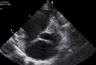
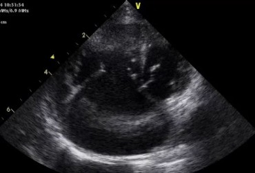
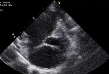
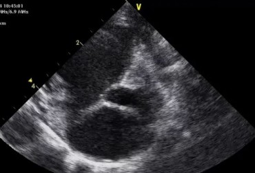
Dysplazja zastawki trójdzielnej i zespół Wolffa–Parkinsona–White’a u kota – opis przypadku

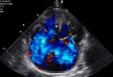
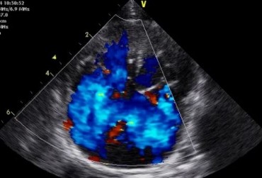
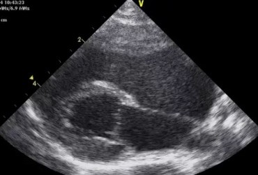
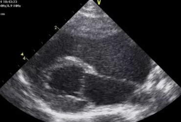
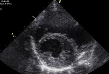
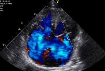
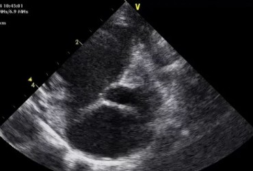
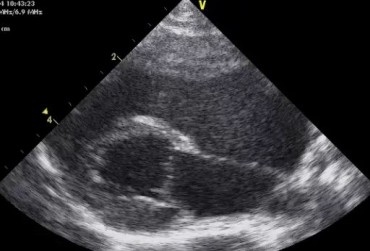
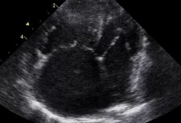
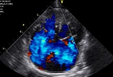
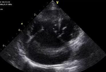
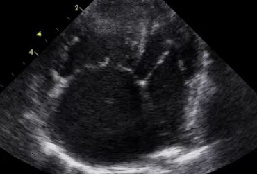
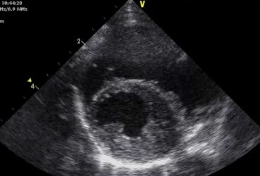
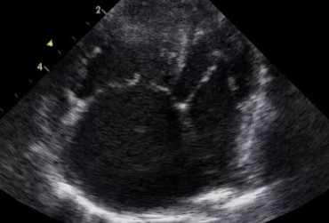
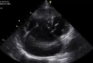
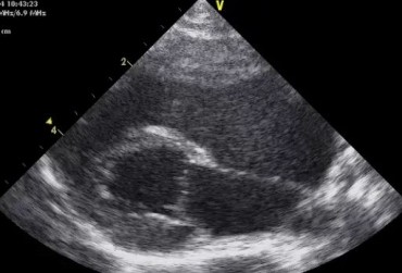
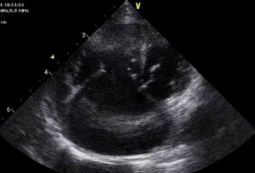
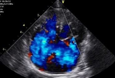
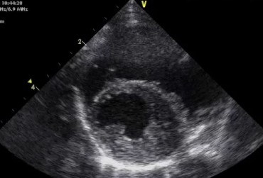
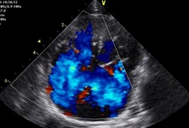
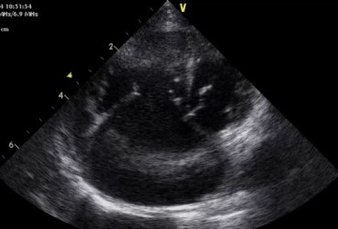
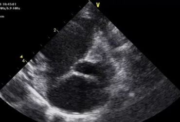
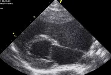
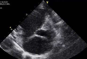
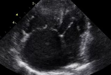
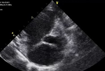
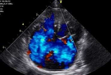
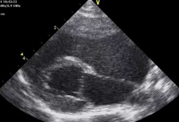
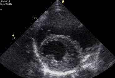
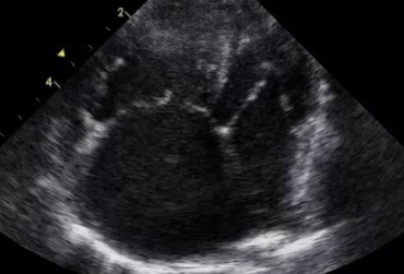
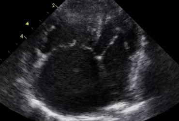
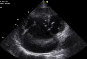
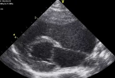
Zwężenie zastawki trójdzielnej jest jedną z form dysplazji pojawiającą się w różnym stopniu nasilenia (najczęściej łącznie z niedomykalnością zastawki) zarówno u psów, jak i u kotów. Cechami charakterystycznymi definiującymi zwężenie zastawki trójdzielnej są: obecność rozkurczowego wybrzuszenia (doming) płatków zastawki, zmniejszona ruchomość płatków, zmniejszona średnica ujścia zastawki. Mimo że zmiany morfologiczne aparatu trójdzielnego są typowe w przebiegu TVD i są znakiem rozpoznawczym tej choroby, nie są one zawsze bardzo silnie wyrażone i nie zawsze można mieć bezsprzeczną pewność diagnostyczną, bazując na badaniu echokardiograficznym [10]. Przypadki takie zdarzają się przede wszystkim u pacjentów, u których nie postawiono diagnozy we wczesnym etapie życia, a którzy pojawiają się na badaniu dopiero w starszym wieku z zaawansowanymi zmianami i niejednokrotnie z klinicznymi objawami prawostronnej niewydolności mięśnia sercowego i towarzyszącymi zaburzeniami w rytmie. W takich przypadkach obraz choroby może przypominać arytmogenną kardiomiopatię prawokomorową (arrhythmogenic right ventricular cardiomyopathy – ARVC) [1, 8]. Preekscytacja jest często obserwowana u ludzi z anomalią Ebsteina. U zwierzat, podobnie jak u ludzi, obecność dodatkowej drogi przewodzenia może nigdy nie prowadzić do rozwoju tachykardii nadkomorowej lub arytmia ta pojawiać się może dopiero w późniejszym okresie życia. Opisany przypadek jest przykładem pacjenta z dysplazją zastawki trójdzielnej i prawostronną niewydolnością serca będącą najprawdopodobniej konsekwencją tachykardii nadkomorowej.

Czytaj więcej