Autor: Rafał Kraszewski

lek. wet. spec. chirurg; w  roku 2009 ukończył studia weterynaryjne na Warszawskiej SGGW. W roku 2014 uzyskał tytuł specjalisty z zakresu chirurgii weterynaryjnej. Obecnie pracuje w Specjalistycznej Przychodni Weterynaryjnej Vetcardiia, gdzie zajmuje się chirurgią miękką i kardiochirurgią. Stale poszerza swoją wiedzę na licznych warsztatach Polskich i Zagranicznych. W 2017 roku odbył miesięczny staż z kardiochirurgii pod okiem Prof Ortona w USA.

Działy
Wyczyść
Brak elementów
Wydanie
Wyczyść
Brak elementów
Rodzaj treści
Wyczyść
Brak elementów
Sortowanie

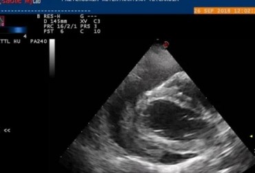
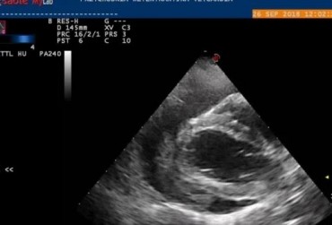
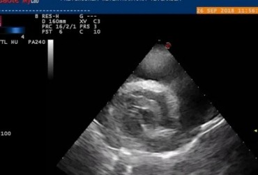
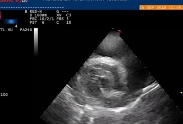
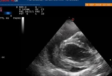
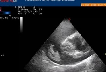
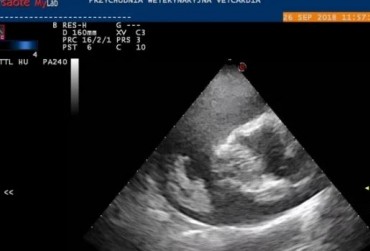
Metody małoinwazyjne w kardiologii weterynaryjnej. Czy chirurg jest jeszcze potrzebny? Opis przypadku

Artykuł przedstawia różne metody usunięcia worka osierdziowego. Prezentuje zarówno metody klasyczne, jak i małoinwazyjne, pokazując zalety i wady każdej z nich. Dzięki przedstawionemu opisowi przypadku pozwala zrozumieć, czym należy się kierować przy wyborze odpowiedniej metody operacji.

Czytaj więcej